
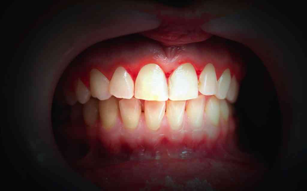
Bleeding gums when you brush or floss is often an early symptom of gingivitis, which can lead to advanced stages of gum disease. Fortunately, this symptom doesn’t mean it’s too late to turn the health of your gums around. There are two components to bleeding gums treatment – quality oral care at home and professional treatment at a dental office.
Professional Cleaning and Treatment
Many people are diagnosed with gingivitis during a routine office visit. The condition starts out very mild, so it isn’t uncommon for people to be unaware they have it prior to diagnosis. The dental hygienist often notices bleeding, swelling and irritation while cleaning the teeth. During the professional cleaning, plaque and tarter are removed from under the gumline and from the surface of the teeth.
The dentist will examine the positioning of your teeth, jaws and dental work, such as crowns and bridges, to determine if there is an alignment problem preventing you from brushing or flossing effectively. If so, the dentist will make suggestions for treatment or strategies to overcome this problem.
Periodontal charting may be done to measure the depth of your gum tissue and the hygienist can determine if you have gum recession. This will be done again at future appointments to analyze if gum health is improving or declining.
The hygienist will go over proper brushing and flossing procedures with you. This gives you a fresh start for going forward with oral care at home. Make sure to attend your follow up appointments. Regular exams and cleanings are important for monitoring and reversing gum disease.
Caring for Your Teeth and Gums at Home
Bleeding gums are a sign that you need to step up your dental hygiene routine at home. Consistent and proper brushing and flossing will go a long way in improving the health of your gums.
Brush twice a day and floss at least once a day. Many dentists suggest adding an antiseptic mouthwash to the home care routine.
Starting with the toothbrush at a 45 degree angle towards the gumline is recommended. Move the brush back and forth across the teeth and gums using short, gentle strokes. Brush each tooth on all surfaces using this technique. Then use the tip of the brush to get the backs of front teeth on both the top and bottom. It is also important to brush your tongue.
Flossing can be tricky, especially if your teeth are close together. Place the floss between your thumb and finger and gently slide it between your teeth.
Curve the floss into a “C” shape. Move it up and down around the tooth, including under the gumline. Do not use a sawing motion or apply excess force. Use a new section of floss for each tooth. An interdental brush helps with areas that have space like crown and bridge work and implants.
While gingivitis is very common and easily treatable, it can lead to serious gum issues, including tooth loss. Good oral health habits and regular professional cleaning visits go a long way in preventing or reversing the condition.




